Teeth scaling & polishing in Bangi | From RM100 | Awana Dental

Professional teeth scaling and polishing at Awana Dental Clinic, Bandar Seri Putra Bangi. Regular scaling removes plaque and tartar build-up that brushing alone can't reach — protecting your gums, freshening your breath, and keeping your smile healthy. Scaling starts from RM100 and is recommended every 6–12 months.

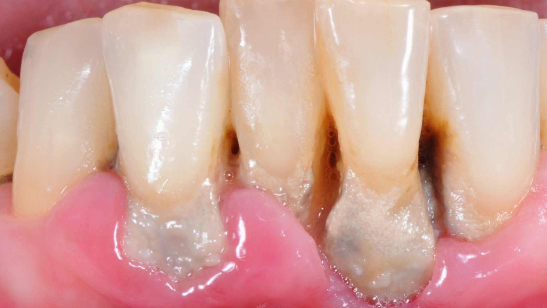
Why is scaling important?

We offer a range of specialized services tailored to meet your individual needs. Our approach is focused on understanding and responding to what you require, providing effective and practical solutions.

Removes tartar

Removes tartar (calculus) that brushing and flossing cannot remove.

Prevents gum disease

Prevents gum disease (gingivitis and periodontitis).

Reduces bad breath

Reduces bad breath caused by bacterial build-up.

Keeps teeth clean

Keeps teeth looking clean and bright.

Early detection

Early detection of cavities and gum problems.

Is scaling painful?

Scaling is generally comfortable for most patients. You may feel some pressure or vibration from the ultrasonic scaler. If you have sensitive gums or significant tartar build-up, there may be mild discomfort — but Dr. Hanif is known for his gentle approach and will always work to ensure your comfort.

Who benefits most from scaling and polishing?

Our scaling and polishing service is perfect for anyone looking to maintain optimal oral health. It particularly benefits individuals concerned about bad breath, visible stains, or those prone to plaque and tartar build-up. If you want a brighter, healthier smile and fresh breath, this treatment is for you.

Our unique 'painless dentistry' approach

At Awana Dental Clinic, we pride ourselves on a new era of painless dentistry. Our experienced team, led by Dr. Hanif, uses gentle techniques and modern equipment to ensure your scaling and polishing experience is as comfortable and stress-free as possible. We prioritize your comfort and well-being above all else.

Common patient concerns addressed

Many patients worry about discomfort during scaling, but with our gentle approach, most find the procedure quite tolerable. If you have sensitive teeth, we can discuss options like local anaesthesia to ensure a completely pain-free experience. We also address concerns about cost, with scaling starting from an affordable RM100, making professional dental care accessible.